Kuşlar neden ishal olur ? Muhabbet kuşu neden ishal olur ? Kuş ishali neden olur ? gibi sorularınıza yanıt vermek için Wellvet Veteriner Hekim Kliniği olarak siz hayvan sahipleri için bir yazı hazırladık. İshal, kuşlarda sıkça karşılaşılan bir semptomdur. Kimi zaman stres, beslenme değişikliği, parazit, toksik maddeler, yaşlanma gibi basit sebeplerden olsa da kimi zaman da çok ciddi hastalıkların habercisi olabilir. Bu yazımızda kuşlarda sıkça karşılaşılan , ishal ve zayıflığa sebep olan Megabakter Enfeksiyonundan bahsedeceğiz.
Kanatlı Hayvanlarda Megabakter Enfeksiyon Nedir ? | Kuşlar Neden İshal Olur ?
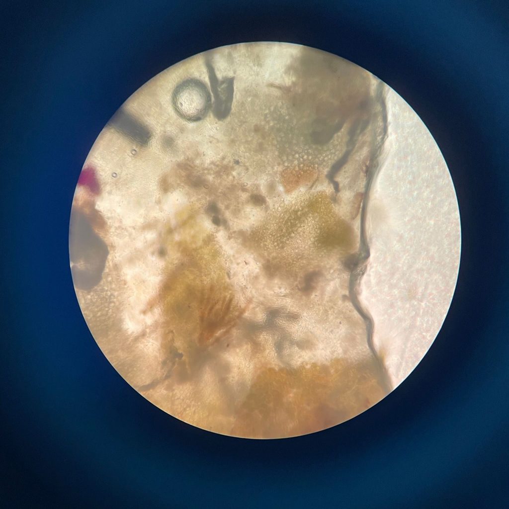
Kuşlarda Megabakter Enfeksiyon: Wellvet Ümraniye Veteriner Hekim Kliniği
“Kuşlar neden ishal olur ?” Sorusunun cevabı Megabakter enfeksiyon olabilir. Megabakter enfeksiyonu, kanatlı hayvanlarda gram-negatif bir bakteri türü olan Megabakterium tarafından oluşturulan bir hastalıktır. Ayrıca bu bakteri, genellikle bağırsak sisteminde yaşamakta ve çeşitli enfeksiyonlara neden olabilmektedir. Ek olarak Megabakter enfeksiyonu, başta solunum sistemi olmak üzere, organların çeşitli bölümlerinde ciddi sorunlara yol açabilir.
Kuşlarda Megabakter Enfeksiyonun Belirtileri Nelerdir ?

Megabakter enfeksiyonunun belirtileri, etkilenen organa ve hastalığın şiddetine göre değişiklik gösterebilir. Solunum sistemi enfeksiyonlarında genelde öksürük, hırıltı, burun akıntısı ve ağız köpüğü gibi belirtilerle gözlemlenebilir. Ayrıca sindirim sistemi enfeksiyonlarında ishal, iştahsızlık, kilo kaybı ve karın ağrısı gibi semptomlar görülebilir. Bunlara ek olarak daha ciddi vakalarda, hayvanların halsizlik ve ölüm de meydana gelebilir.
Bulaşma Yolları ve Risk Faktörleri Nelerdir ?
Megabakter enfeksiyonu, çeşitli bulaşma yolları aracılığıyla kanatlı hayvanlara ulaşabilir. Genellikle kirli barınaklar, yetersiz hijyen koşulları, yem ve su kaynakları, enfekte hayvanlarla temas gibi faktörler yayılmaya neden olabilir. Ayrıca, bağışıklığı zayıf olan, stres altındaki veya kötü beslenen hayvanlar, Megabakter enfeksiyonuna daha duyarlı olabilirler.
Teşhis ve Tedavi Süreci
Megabakter enfeksiyonunun teşhisi, klinik belirtiler, laboratuvar testleri ve görüntüleme yöntemleri kullanılarak yapılır. İlk olarak bakterinin izole edilmesi ve tanımlanması için, dışkı, solunum sistemi sürüntüleri veya organ örnekleri laboratuvarda incelenebilir. Daha sonrasında tedavi kısmı antibiyotik ve destek tedavilerini içerir. Ancak, erken tanı ve tedavi, hastalığı önlemek ve hayvanların hayatta kalma şansını artırmak için önemlidir.
Megabakterden Korunma ve Önleme Stratejileri Nelerdir ? | Kuşlar Neden İshal Olur
Megabakter enfeksiyonunun önlenmesi ve kontrol edilmesi için çeşitli önlemler alınmalıdır. Barınak hijyeni, sanitasyon ve dezenfeksiyon olmak üzere, beslenme ve bağışıklık sisteminin güçlendirilmesi gibi önleyici uygulamalar büyük önem taşır. Ayrıca, hastalığın erken teşhisi, izolasyon ve uygun ilaç tedavisi, enfeksiyonun yayılmasını engellemek için gereklidir. Kanatlı hayvan sahiplerinin, Megabakter enfeksiyonu konusunda bilgilendirilmesi ve eğitilmesi de önemli bir halk sağlığı yaklaşımıdır.
Yazımız Yeterince Bilgilendirici Gelmedi Mi ?
Buraya tıklayarak iletişim sayfamız üzerinden bize ulaşabilirsiniz. Aynı zamanda buraya tıklayarak ana sayfadaki randevu formunu doldurup kliniğimizi ziyaret edebilirsiniz.
